|
|
 Extreme Veteran
Posts: 495
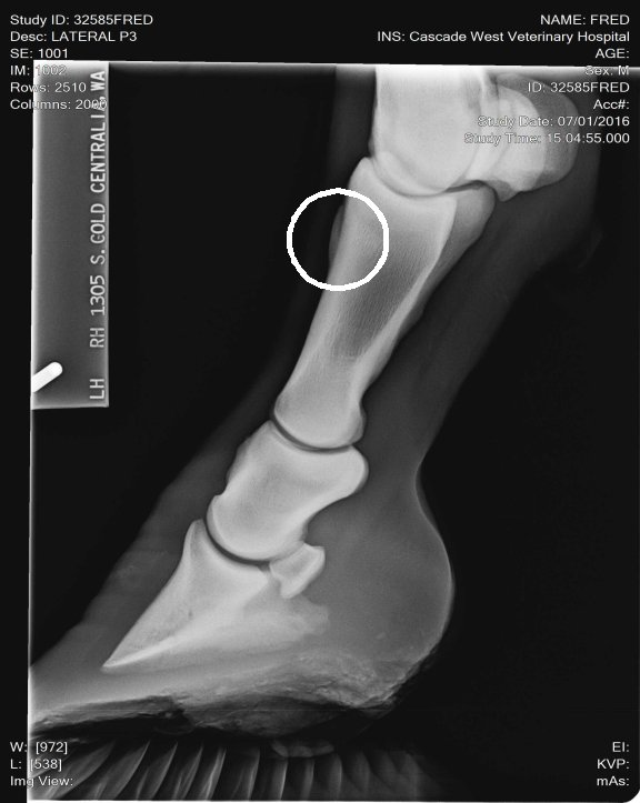
       Location: Washington | So we got a young, 3 yr old, horse from some friend to break, put some time on and sale for them. AWESOME little horse with a nice cowbred pedigree. Our 7 yr old was riding him his 14th ride, he now has about 45 days on him. She's now taken over the reins working cows and trail riding. He's had a pretty easy life, no injuries or illness. We started advertising and have LOTS of interest BUT he has failed two pre purchase exams for lameness on the flex test. First was front left yesterday was front right. First vet check took X rays, he said he was clean, vet that looked at him yesterday said no, high ringbone! He rides sound but wont pass the flex tests. What are your expereinces with this? What are our options? Maintence?Β Β We WILL be up front and honest with his condition to potenial buyers but I'd like to know other peoples opinions and your most successful treatments.
Will try to attach X rays
Β
I'll try this again I circled the wrong place! lol Thats what I get for doing this before coffee!
Edited by Lopin' Leopard 2016-08-11 7:57 AM
(unnamed (1)b.jpg)
(unnamedb.jpg)
Attachments ----------------
unnamed (1)b.jpg (51KB - 459 downloads)
unnamedb.jpg (47KB - 169 downloads)
|
|
|
|
 Extreme Veteran
Posts: 495
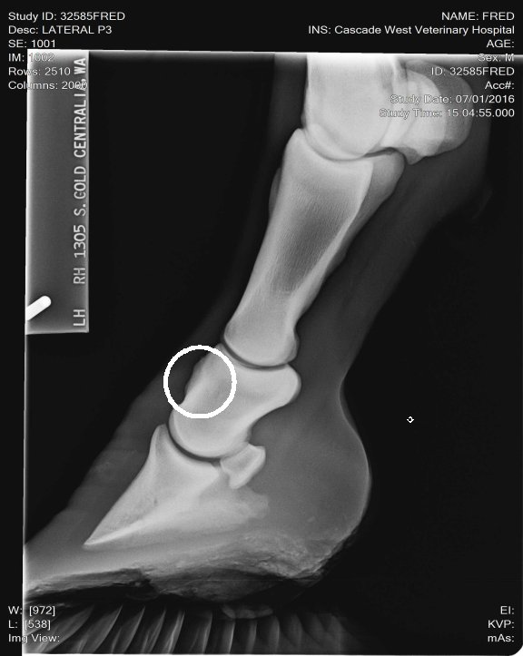
       Location: Washington | Here is the correct spot circled!
(unnamed (1)c.jpg)
Attachments ----------------
unnamed (1)c.jpg (50KB - 241 downloads)
|
|
|
|
 Elite Veteran
Posts: 851
      Location: West Texas | I don't have much info, but ringbone is a pretty bad deal. My understanding is it will just get worse and cripple eventually? My dad just had a head horse get surgery for it two weeks ago. It cost about $5000. |
|
|
|
 Extreme Veteran
Posts: 495
       Location: Washington | Tdove - 2016-08-11 6:36 AM
I don't have much info, but ringbone is a pretty bad deal. My understanding is it will just get worse and cripple eventually? My dad just had a head horse get surgery for it two weeks ago. It cost about $5000.
This is my understanding as well. What I have read is you can make them "comfortable" but no cure and gets worse. Like it eventually takes over the joint and restricts movement.......
Waiting to talk to our vet later today on best options for him.
|
|
|
|
 Warrior Mom
Posts: 4400
     
| We bought a drop dead gorgeous gelding, he was 3..Stupid of us not to do a vet check, but his price was right and he seemed just fine when we rode him..until we took him to our trainer and he really started putting the miles on him, he felt off, so we had him x rated and sure enough, vet said high ringbone. We were devastated. Ended up giving him away to a lady that just wanted to see pretty horses in her pasture. Vet said he would just get worse and since he was only 3 and already developing signs of being off it wasn't good. |
|
|
|
 A Barrel Of Monkeys
Posts: 12972
          Location: Texas | Try EquiBone. A bag is pretty pricey, but it lasts a long time. Call them, they'll talk to you about it. I had excellent results after a fracture, and it's also used for ringbone.
http://www.tlcanimalnutrition.com/equi-bone-nutritional-support-for-horses-navicular-fractures-calcium-deposits/
|
|
|
|
 Elite Veteran
Posts: 851
      Location: West Texas | In my Dad's horse's case, they said he had a 90% chance of 100% recovery with the surgery. Healing time is a long time and he had it done at Equine Sports Medicine in Weatherford TX.
Edited by Tdove 2016-08-11 6:52 PM
|
|
|
|
Defense Attorney for The Horse
   Location: Claremore, OK | Osphos |
|
|
|
Nut Case Expert
Posts: 9305
      Location: Tulsa, Ok | My daughter has a horse that was diagnosed with ringbone about 12 years ago. It was late in his futurity year and we figured the end of a promising future. He was never really lame but she could just kind of feel something in his movement that was "off". I clearly saw the spot of whatever on the xrays. I think it is some kind of calcification from some injury but it has never progressed so it obviously is not ringbone. We do keep him in natural balance shoes to speed the breakover and it has alleviated what my daughter could feel in his movement. He is now 16 years old and completely sound.
I guess my point is things are not always what the appear. |
|
|
|
 Extreme Veteran
Posts: 495
       Location: Washington | SC Wrangler - 2016-08-11 4:46 PM
My daughter has a horse that was diagnosed with ringbone about 12 years ago. It was late in his futurity year and we figured the end of a promising future. Β He was never really lame but she could just kind of feel something in his movement that was "off". Β I clearly saw the spot of whatever on the xrays. Β I think it is some kind of calcification from some injury but it has never progressed so it obviously is not ringbone. Β We do keep him in natural balance shoes to speed the breakover and it has alleviated what my daughter could feel in his movement. Β He is now 16 years old and completely sound.
I guess my point is things are not always what the appear.Β
I talked to the people that had the X-rays done. The daughter works for a vet and they looked at them and said it wasn't bad enough to call ring bone. I have three opinions now lol
He is sound to ride just wont pass flex test and only time will tell if it turn into something or not.
Just not what ya wanna hear on a sale horse but I know it could be worse. |
|
|
|
Extreme Veteran
Posts: 477
       Location: Lost in the swamps | My opinion these X rays don't look bad. I don't see any involvement in the joint spaces. I've seen a lot worse. He's got really long toes, you need to show your farrier these x rays and have him shorten and round his toes to quicken his break over is very important for horses dealing with ringbone. long toes create a lot of torque! This can also lead to lamine inflammation. The p-1 and p-2 is a low motion joint so it can actually fuse and the horse still have soundness. Your p2 and coffin joint is where you don't want any issues of ring bone. And I don't see any there. The upper pattern has some oddity near the seasmoid bone. Just curious did your vet mention anything? |
|
|
|
 Extreme Veteran
Posts: 495
       Location: Washington | imturnin3 - 2016-08-11 7:18 PM
My opinion these X rays don't look bad. I don't see any involvement in the joint spaces. I've seen a lot worse. He's got really long toes, you need to show your farrier these x rays and have him shorten and round his toes to quicken his break over is very important for horses dealing with ringbone. long toes create a lot of torque! This can also lead to lamine inflammation. The p-1 and p-2 is a low motion joint so it can actually fuse and the horse still have soundness. Your p2 and coffin joint is where you don't want any issues of ring bone. And I don't see any there. The upper pattern has some oddity near the seasmoid bone. Just curious did your vet mention anything?
1st vet mentioned calcification on his lower leg, by palpation.
I am his farrier. He did not have a proper trim prior to the X rays. He had a bunch of false sole I didn't not want to take out and risk him coming up sore for potential buyers. ha ha ha He has since been trimmed, sole taken out and he has correct angle. Cant remember is I mentioned in original post if he ran throught he fence and had a month off to recover, so when we turned him out I trimmed him up as there was no concern of him being sore.
From what I've read there are two ways it could go, get worse and restrict movement or fuse and never be an issue again.
Edited to add: He's not ours, selling for a good friend. Only had him in our possession for a month, maybe month and a half, before X rays
Edited by Lopin' Leopard 2016-08-11 9:35 PM
|
|
|