Folks on-line
Today is
Home
Place Ad
Place a Horse for Sale Ad
Place a Horse Wanted Ad
Place a Horse Property for Sale Ad
Place a Horse Trailer for Sale Ad
Place a Truck for Sale Ad
Place a Stallion Service Ad
Place a Tack Store Ad
Place a Hay for Sale Ad
Place a Rescue Dog Ad
Place a Services Provided Ad
List a Stolen Saddle
Auction my Horse
New!
Record my horse's information (Free)
Log in to my account
For Sale
Barrel Horses for Sale
Barrel Horses for Auction
Barrel Horses Wanted
Barrel Horses for Sale Videos
Horse Property for Sale
Horse Trailers for Sale
Trucks for Sale
Stallion Service
Saddles and Tack for Sale
Hay for Sale
Rescue Dogs
Stolen Saddles
Log in to my account
Stallions
Services
Testimonials
Events
Search for Barrel Horse Events
Place a Free Event Listing
Sanctioning Bodies
Find an Arena
List Your Arena Free
Live Webcasts
BHW Podcast Series
Live/Upcoming Webcasts
Forums
Barrel Racing Forum
Barrel Racers Directory
Trainers
In Memorium
BHW News
View My List
Contact
Contact Info
FAQ
BHW Banners
Custom Websites
Our Apps
Rate Page
Fraud Reporting
Find us on Facebook
🗂️ Forums
📷 Albums
🎨 Skins
🔍 Search
📝 Register
💻 Logon
You are logged in as a guest.
Logon
or
register
an account to access more features.
Other Forums
Horse Trailers
Trucks
Cutting
Reining
Roping
Not a good afternoon
Moderators:
luluwhit
,
gotothewhip
,
cindyt
,
crossspur
,
ForumAdmin
Jump to page :
1
2
3
4
Last activity 2018-02-13 9:38 PM
67 replies, 8638 views
View previous thread
::
View next thread
General Discussion
->
Barrel Talk
Flat
Threaded
Nested
Southtxponygirl
Reg. Nov 2006
Posted
2018-02-10 9:45 AM
Subject:
RE: Not a good afternoon
A Somebody to Everybody
Posts: 41354
Location: Under The Big Sky Of Texas
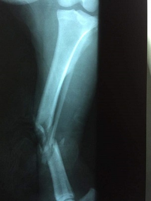
Heres your baby Chanders Mom
Edited by Southtxponygirl 2018-02-10 10:00 AM
(IMG_2872.JPG)
(part0.jpg)
(part0 (1).jpg)
(part0 (2).jpg)
Attachments
----------------
IMG_2872.JPG
(96KB - 200 downloads)
part0.jpg
(45KB - 210 downloads)
part0 (1).jpg
(24KB - 248 downloads)
part0 (2).jpg
(23KB - 202 downloads)
↑ Top
↓ Bottom
jake16
Reg. Apr 2006
Posted
2018-02-10 7:23 PM
Subject:
RE: Not a good afternoon
Go Get Em!
Posts: 13503
Location: OH. IO
What a beautiful pup:
)so glad she is doing well in the house and with her recovery.
↑ Top
↓ Bottom
Southtxponygirl
Reg. Nov 2006
Posted
2018-02-10 9:26 PM
Subject:
RE: Not a good afternoon
A Somebody to Everybody
Posts: 41354
Location: Under The Big Sky Of Texas
What a sweet looking dog, shes so lucky to have Chandlers Mom and family looking after her..
↑ Top
↓ Bottom
Chandler's Mom
Reg. Jan 2015
Posted
2018-02-10 11:42 PM
Subject:
RE: Not a good afternoon
My Heart Be Happy
Posts: 9159
Location: Arkansas
Thank you ladies
↑ Top
↓ Bottom
Ohiobarrelracer
Reg. Feb 2017
Posted
2018-02-12 7:20 AM
Subject:
RE: Not a good afternoon
Extreme Veteran
Posts: 534
Location: Ohio girl moved to PA
So glad to hear shes doing better!!!
↑ Top
↓ Bottom
hoofs_in_motion
Reg. Apr 2011
Posted
2018-02-13 10:18 AM
Subject:
RE: Not a good afternoon
Undercover Amish Mafia Member
Posts: 9991
Location: Kansas
I'm so sorry, I'm praying for you
↑ Top
↓ Bottom
oija
Reg. Feb 2012
Posted
2018-02-13 10:19 AM
Subject:
RE: Not a good afternoon
Expert
Posts: 3782
Location: Gainesville, TX
Poor thing. Many prayers. Glad to hear some good news on recovery.
↑ Top
↓ Bottom
Chandler's Mom
Reg. Jan 2015
Posted
2018-02-13 9:38 PM
Subject:
RE: Not a good afternoon
My Heart Be Happy
Posts: 9159
Location: Arkansas
She was a little too rambunctious earlier---wanted to chase Luca across the hardwood floor when it was time to go out to pee. . . She's never off leash but she was spinning wheels trying to get Luc!!!! Lord she doesn't realize how much that dang back leg is worth now
↑ Top
↓ Bottom
Jump to page :
1
2
3
4
Jump to forum :
General Discussion
----------------------
+ Barrel Talk
+ Teen Talk
+ Transportation
+ LET'S TALK NFR
+ Barrel Events
+ BHW Product Research Forum
+ Hay Forum
+ Sticky Forum
+ Live Events
+ Singles Corral
Search this forum
Printer friendly version
E-mail a link to this thread
Flat
Threaded
Nested
View previous thread
::
View next thread
© Copyright 2002-
BarrelHorseWorld.com All rights reserved including digital rights
Support - Contact
/
Log in to my account
'
(
Delete all cookies set by this site
)
Running
MegaBBS ASP Forum Software
© 2002-2025 PD9 Software
Registered to: Barrel Horse World